May help reduce client anxiety with fast, in-clinic cytologic analysis
- AI-powered analysis for results within minutes1,2
- Evaluates potentially cancerous cells in common lymph node and skin/subcutaneous masses
- Clear, detailed images for informed decisions
- Familiar slide preparation without changing your workflow
- Expert clinical pathologist review when clinically warranted†
- In-clinic screening for more accessible testing
Part of the complete, in-clinic cytologic solution



Efficient, reliable results
In-clinic screening of potentially cancerous cells in common lymph node and skin/subcutaneous masses with best-in-class AI* enables fast, accurate diagnosis and treatment.1,2



Optimal workflow
Familiar, one-time sample preparation and rapid results save time while helping your clinic to maintain their current workflow.



Advanced patient care
Can help improve compliance and reduce pet owner stress by providing accessible, in-clinic screening.
How It Works
- Highly accurate1,2 analysis of common lymph node and skin/subcutaneous masses
- Identifies findings suggestive of large, medium, small or mixed lymphocyte population, inflammatory cells, plasma cells, reactive lymph node or neoplasia, histiocytoma, mast cell tumor, plasma cell tumor, large cell lymphoma, reactive lymphoid hyperplasia, lymph node with inflammation, not lymph node, lipoma/adipose tissue, keratin containing lesion or inflammation
- Fast, point of care screening unlocks individualized treatment for patients.



Part of a comprehensive cytology offering
Unlock the freedom to make timely individualized diagnoses and treatment decisions that fit your patients’ needs with Vetscan Imagyst cytology.
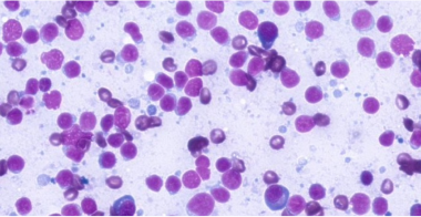
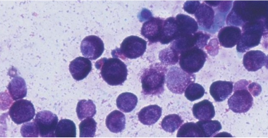
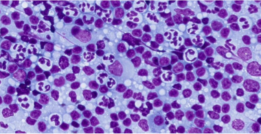
High-resolution images for more confident diagnoses



Large cell lymphoma (neoplasia)



Lymph node with inflammation



Adipose or salivary tissue



Reactive lymphoid hyperplasia



Histiocytoma



Mast Cell Tumor



Plasma cell tumor



Lipoma/adipose tissue



Keratin containing lesion



Inflammatory lesion
Downloadable Resources
Looking for more information? Find what you need in our Resource Center.
Frequently Asked Questions
Both Vetscan Imagyst AI Masses and Digital Cytology can help you provide quick answers to anxious pet owners. AI Masses allows you to test common lymph node and skin/subcutaneous masses samples in-office for fast results in minutes. With Digital Cytology, you can send the samples to board-certified clinical pathologists for results delivered when you need them‡,3
The types of clinical objects that can be identified via AI Masses include:
Lymph node:
- Large cell lymphoma (neoplasia)
- Lymph node with inflammation
- Not lymph tissue (adipose or salivary tissue)
- Reactive lymphoid hyperplasia
- Indeterminate results
Skin/subcutaneous masses:
- Histiocytoma
- Mast cell tumor
- Plasma cell tumor
- Lipoma/adipose tissue
- Keratin containing lesion
- Inflammatory lesion
- Indeterminate results
As with all Vetscan Imagyst applications, you'll need a laptop, tablet, or mobile device and a Vetscan Imagyst scanner.. In addition, you’ll need standard materials including 25 x 75 mm microscope glass slides with frosted edge, Romanowsky-type stain (e.g., Diff Quik), immersion oil, 24 x 60 mm coverslips, a pencil and gloves.
AI Masses allows you to test common lymph node and skin/subcutaneous masses.
With the same familiar single-sample preparation, AI Masses doesn't require you to change your traditional workflow, allowing you to spend less time training staff and giving you more control over how your practice is run.



Bringing specialist-level medicine to your clinic
The Zoetis Virtual Laboratory is an integrated support network of board-certified specialists paired with expert-level AI1-2, 4-13, providing actionable insights to help you diagnose and treat with confidence.
- Best-in-class AI
- Anytime§ expert support
- Connected diagnostic insights



Explore the full Vetscan Imagyst portfolio
Small, mighty and picture perfect, Vetscan Imagyst delivers unmatched insights across seven powerful testing capabilities.
Discover how Vetscan Imagyst can transform your practice
Contact us today to learn more about how our diagnostics portfolio can help elevate your patient care.
Customer Service, Support & Ordering
Mon – Fri: 8:30am – 6:30pm ET
Vetscan and i-STAT Technical Support
24 hours a day, 7 days a week, 365 days a year
1-888-963-8471
Zoetis Reference Laboratories Customer Service, Support & Ordering
Mon – Fri: 8:00am – 9:30pm ET
Saturday: 9:00am – 8:30pm ET
Sunday: Closed
1-888-965-9652
Need Technical Support?
Our support team is available to answer product questions and provide guidance.§
Discover how Vetscan Imagyst can transform your practice
Contact us today to learn more about how our diagnostics portfolio can help you provide elevated patient care.
Customer Service, Support & Ordering
Mon – Fri: 8:30am – 6:30pm ET
Vetscan & i-STAT Technical Support
24 hours a day, 7 days a week, 365 days a year
1-888-963-8471
Zoetis Reference Laboratories Customer Service, Support & Ordering
Mon – Fri: 8:00am – 9:30pm ET
Saturday: 9:00am – 8:30pm ET
Sunday: Closed
1-888-965-9652
Need Technical Support?
Our support team is available to answer product questions and provide guidance.||
* Vetscan Imagyst is the only commercially available veterinary AI analyzer on the market offering seven microscopic testing capabilities.
† Option to send digital slide image to our network of clinical pathologists as needed. Additional costs may apply.
‡ Additional costs may apply.
§ Dependent on consultant availability.
|| If you are a pet owner looking for treatment recommendations, please contact your veterinarian.
References: 1. Data on file, Study No. DXHMZ-US-25-285, 2025, Zoetis Inc. 2. Data on file, Study No. DXHMZ-US-25-286, 2025, Zoetis Inc. 3. Data on file, Study No. TI-11711, 2024, Zoetis Inc. 4. Data on file, Study No. DHX6Z-US-23-205, 2024, Zoetis Inc. 5. Data on file, Study No. DHX6Z-US-23-206, 2024, Zoetis Inc. 6. Data on file, Study No. DHX6Z-US-23-209, 2024, Zoetis Inc. 7. Data on file, Study No. DHX6Z-US-24-257, 2024, Zoetis Inc. 8. Data on file. Study No. DHX6Z-US-24-242, 2024, Zoetis Inc. 9. Data on file, Study No. DHX6Z-US-24-275, 2024, Zoetis Inc. 10. Data on file, Study No. DHX6Z-US-24-276, 2024, Zoetis Inc. 11. Data on file, Study No. DHX6Z-US-23-222, 2023, Zoetis Inc. 12. Data on file, Study No. DHX6Z-US-22-131, 2022, Zoetis Inc. 13. Data on file. Study No. DHXMZ-US-24-235, 2024, Zoetis Inc.