Zmniejsz niepokój klientów dzięki szybkim, wykonywanym w klinice analizom cytologicznym
- Analiza wspomagana sztuczną inteligencją (AI), zapewniająca wyniki w ciągu kilku minut1
- Ocena potencjalnie nowotworowych komórek w powszechnie występujących zmianach w węzłach chłonnych oraz masach skórnych i podskórnych.
- Wyraźne, szczegółowe obrazy wspierające podejmowanie decyzji.
- Znana procedura przygotowania rozmazu, bez potrzeby zmian w Twoim przebiegu pracy
- Dostęp do opinii eksperta patologa klinicznego zawsze wtedy, gdy wymaga tego sytuacja kliniczna1
- Badania przesiewowe w klinice w celu ułatwienia dostępu do badań
Część kompletnego postępowania cytologicznego w praktyce weterynaryjnej
Wydajne, wiarygodne wyniki
Przesiewowe badanie potencjalnie nowotworowych komórek w typowych zmianach w węzłach chłonnych oraz masach skórnych i podskórnych, wykorzystujące najnowsze osiągnięcia w dziedzinie sztucznej inteligencji i umożliwiające szybkie oraz dokładne rozpoznanie, a także skuteczne planowanie leczenia.
Optymalny przepływ pracy
Znana metoda, jednorazowego przygotowania próbki oraz szybko dostępne wyniki oszczędzają czas i pozwalają utrzymać dotychczasowy przepływ pracy w Twojej placówce.
Zaawansowana opieka nad pacjentem
Budowanie zaufania właścicieli zwierząt, zmniejszenie ich stresu oraz zwiększenie przestrzegania zaleceń poprzez zapewnienie dostępu do badań przesiewowych w klinice.
Jak to działa
- Bardzo dokładna1,2 analiza powszechnych zmian w węzłach chłonnych oraz masach skórnych i podskórnych.
- Umożliwia identyfikację wyników sugerujących obecność dużej, średniej, małej lub mieszanej populacji limfocytów, a także komórek zapalnych, komórek plazmatycznych, reaktywnych węzłów chłonnych lub zmian nowotworowych (w tym histiocytoma, guzy z komórek tucznych, guzy z komórek plazmatycznych).
- Pozwala na rozróżnienie chłoniaka wielkokomórkowego, reaktywnego rozrostu limfatycznego, węzła chłonnego ze stanem zapalnym, tkanki tłuszczowej/tłuszczaka oraz zmian zawierających keratynę lub komórki zapalne.
- Szybkie badanie przesiewowe w punkcie opieki umożliwia wdrożenie zindywidualizowanego leczenia u pacjentów.
Element kompleksowej oferty cytologicznej
Zyskaj swobodę szybkiego podejmowania zindywidualizowanych decyzji diagnostyczno‑terapeutycznych dostosowanych do potrzeb Twoich pacjentów dzięki cytologii Vetscan Imagyst.
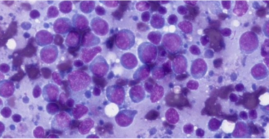
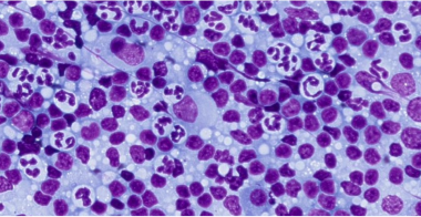
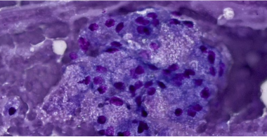
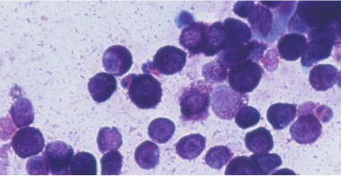
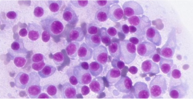
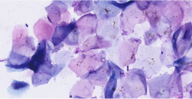
Obrazy o wysokiej rozdzielczości dla pewniejszych diagnoz



Chłoniak wielkokomórkowy



Węzeł chłonny z zapaleniem



Tkanka tłuszczowa lub ślinianka



Reaktywna hiperplazja węzła chłonnego



Histiocytoma



Guz komórek tucznych



Guz komórek plazmatycznych



Tłuszczak / Tkanka tłuszczowa



Zmiana zawierająca keratynę



Zmiana zapalna
Często zadawane pytania
Zarówno Vetscan Imagyst AI Masses, jak i Cytologia Cyfrowa umożliwiają szybkie udzielanie odpowiedzi zaniepokojonym właścicielom zwierząt. AI Masses pozwala na ocenę najczęstszych zmian w obrębie węzłów chłonnych oraz guzów podskórnych bezpośrednio w gabinecie, dostarczając wyniki w ciągu kilku minut. Z kolei w przypadku Cytologii Cyfrowej możliwe jest przesłanie próbek do certyfikowanych patologów klinicznych i uzyskanie wyników dokładnie wtedy, gdy są potrzebne.‡,3
Rodzaje zmian klinicznych, które można zidentyfikować na podstawie próbek AI Masses obejmują:
Węzeł chłonny:
- Chłoniak wielkokomórkowy (nowotwór)
- Węzeł chłonny ze stanem zapalnym
- Nie jest to tkanka limfatyczna (tkanka tłuszczowa lub ślinianka).
- Reaktywny przerost limfoidalny
- Wyniki nieokreślone
Masy podskórne:
- Histiocytoma
- Guz z komórek tucznych
- Guz z komórek plazmatycznych
- Tłuszczak/tkanka tłuszczowa
- Zmiana zawierająca keratynę
- Zmiana zapalna
- Wyniki nieokreślone
Jak w przypadku wszystkich aplikacji Vetscan Imagyst, potrzebny będzie laptop, tablet lub urządzenie mobilne oraz skaner Vetscan Imagyst. Dodatkowo wymagane są standardowe materiały: szkiełka podstawowe mikroskopowe 25 × 75 mm z matową krawędzią, barwienie typu Romanowskiego (np. Diff‑Quik), olejek immersyjny, szkiełka nakrywkowe 24 × 60 mm, ołówek i rękawiczki.
AI Masses umożliwia ocenę najczęściej występujących zmian w obrębie węzłów chłonnych oraz mas skórnych i podskórnych.
Jest to ta sama, znana procedura jednorazowego przygotowania próbki. AI Masses nie wymaga zmian w dotychczasowym przepływie pracy, co skraca czas szkolenia personelu i daje Ci większą kontrolę nad organizacją pracy w Twojej praktyce.
Poziom usług medycznych w Twojej praktyce będzie jeszcze wyższy
Zoetis Virtual Laboratory to zintegrowana sieć wsparcia, łącząca certyfikowanych specjalistów z zaawansowaną sztuczną inteligencją1,2 4-13, która usprawnia każdy element Twojej praktyki diagnostycznej, umożliwiając pewne diagnozowanie i leczenie..
- Najlepsza w swojej klasie sztuczna inteligencja
- Wsparcie ekspertów 24/7‡
- Połączone informacje diagnostyczne

Poznaj pełne portfolio Vetscan Imagyst
Mały, potężny i dopracowany w każdym szczególe, Vetscan Imagyst dostarcza niezrównane informacje w ramach sześciu zaawansowanych możliwości diagnostycznych..
Zobacz, jak portfolio hematologiczne Zoetis może zmienić Twoją praktykę
Skontaktuj się z nami już dziś, aby dowiedzieć się, jak nasze rozwiązania diagnostyczne mogą podnieść poziom opieki nad pacjentem.
Zoetis Polska Sp. z o.o.
tel. +48 22 223 48 00
Pon.–pt.: 9.00–16.00
Pon–czw: 9.00–17.00 8:00 – 21:30 ET
Sobota: 9:00 – 20:30 ET
Niedziela: Nieczynne
Potrzebujesz wsparcia technicznego?
Nasz zespół wsparcia chętnie odpowie na pytania dotyczące produktów i udzieli wskazówek.
+48 887 565 451
+48 887 508 288
* Vetscan Imagyst to jedyny dostępny na rynku weterynaryjnym analizator AI oferujący sześć możliwości badań mikroskopowych.
† Możliwość wysłania cyfrowego preparatu do jednego z naszych patologów klinicznych, gdy zaistnieje taka potrzeba. Mogą obowiązywać dodatkowe opłaty.
Mogą obowiązywać dodatkowe opłaty.
‡ W zależności od dostępności konsultanta.
§ Jeśli jesteś opiekunem/opiekunką zwierzęcia i szukasz wskazówek dotyczących leczenia, skontaktuj się z lekarzem/lekarką weterynarii.
Piśmiennictwo: 1. Dane z badań własnych, badanie nr DHX6Z-US-25-285, 2025, Zoetis Inc. 2. Dane z badań własnych, badanie nr DHX6Z-US-25-286, 2025, Zoetis Inc. 3. Dane z badań własnych, badanie nr TI-11711, 2024, Zoetis Inc. 4. Dane z badań własnych, badanie nr DHX6Z-US-23-205, 2024, Zoetis Inc. 5. Dane z badań własnych, badanie nr DHX6Z-US-23-206, 2024, Zoetis Inc. 6. Dane z badań własnych, badanie nr DHX6Z-US-23-209, 2024, Zoetis Inc. 7. Dane z badań własnych, badanie nr DHX6Z-US-24-257, 2024, Zoetis Inc. 8. Dane z badań własnych. Badanie nr DHX6Z-US-24-242, 2024, Zoetis Inc. 9. Dane z badań własnych, badanie nr DHX6Z-US-24-275, 2024, Zoetis Inc. 10. Dane z badań własnych, badanie nr DHX6Z-US-24-276, 2024, Zoetis Inc. 11. Dane z badań własnych, badanie nr DHX6Z-US-23-222, 2023, Zoetis Inc. 12. Dane z badań własnych, badanie nr DHX6Z-US-22-131, 2022, Zoetis Inc. 13. Dane z badań własnych. Badanie nr DHXMZ-US-24-235, 2024, Zoetis Inc.