Réduisez l’anxiété des clients grâce à une analyse cytologique rapide en clinique
- Analyse par IA pour des résultats en quelques minutes1,2
- Évalue les cellules potentiellement cancéreuses dans les lésions courantes des nœuds lymphatiques et sous-cutanées
- Des images nettes et détaillées pour la prise de décisions éclairées
- Préparation simple des lames sans modification au flux de travail
- Examen par un pathologiste clinique disponible, si cliniquement justifié†
- Permet un dépistage à même la clinique, pour des résultats plus accessibles
Une partie intégrante de notre solution de cytologie complète en clinique
Des résultats efficaces et fiables
Le dépistage en clinique de cellules potentiellement cancéreuses dans les masses ganglionnaires et sous-cutanées courantes avec l'IA permet de poser un diagnostic rapide et précis1,2 et de procéder au traitement avec confiance.
Flux de travail optimal
La préparation simple et unique des échantillons, et l’obtention rapide de résultats, permettent à votre clinique de gagner du temps tout en maintenant son flux de travail actuel.
Soins avancés aux patients
Permet d’améliorer la conformité thérapeutique et de réduire le stress des propriétaires d’animaux de compagnie en fournissant un dépistage accessible en clinique.
Fonctionnement
- Analyse extrêmement précise1,2 des lésions courantes des nœuds lymphatiques et sous-cutanées
- Détermine les résultats suggérant une population de lymphocytes de grande, moyenne, petite taille ou mixte, de cellules inflammatoires, de plasmocytes, de nœuds lymphatiques réactifs ou un néoplasme, un histiocytome, mastocytome, une tumeur plasmocytaire, un lymphome à grandes cellules, une hyperplasie lymphoïde réactive, un nœud lymphatique avec inflammation, pas de nœud lymphatique, un lipome/tissu adipeux, une lésion contenant de la kératine ou une inflammation.
- Le dépistage rapide en clinique permet un traitement individualisé des patients
Une partie intégrante de notre offre de cytologie complète
Grâce à la cytologie Vetscan Imagyst, vous avez la possibilité de poser des diagnostics individualisés et de prendre des décisions thérapeutiques adaptées aux besoins de vos patients.
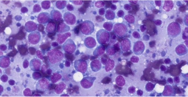
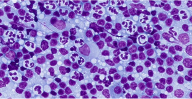
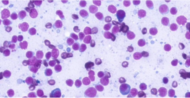
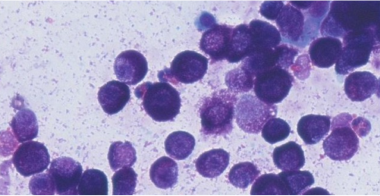
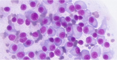
Des images haute résolution pour des diagnostics plus fiables



Lymphome à grandes cellules (néoplasie)



Nœud lymphatique avec inflammation



Tissu adipeux ou salivaire



Hyperplasie lymphoïde réactive



Histiocytome



Mastocytome



Tumeur des plasmocytes



Lipome/tissu adipeux



Lésion contenant de la kératine



Lésion inflammatoire
Foire aux questions
L’analyse de masses par IA et la cytologie numérique de Vetscan Imagyst peuvent toutes deux vous aider à fournir des réponses rapides aux propriétaires d’animaux de compagnie anxieux. L’analyse de masses par IA vous permet d’analyser des masses ganglionnaires et sous-cutanées courantes en clinique, afin d’obtenir des résultats rapides en quelques minutes. Avec la cytologie numérique, vous pouvez envoyer les échantillons à des pathologistes cliniques certifiés pour obtenir des résultats quand vous en avez besoin, peu importe le type d'échantillon‡,3.
Les types d’objets cliniques qui peuvent être identifiés grâce à l’analyse par IA des échantillons de masses comprennent:
Nœud lymphatique :
- Lymphome à grandes cellules (néoplasie)
- Nœud lymphatique avec inflammation
- Tissu non lymphatique (tissu adipeux ou salivaire)
- Hyperplasie lymphoïde réactive
- Résultats indéterminés
Masses sous-cutanées :
- Histiocytome
- Mastocytome
- Tumeur des plasmocytes
- Lipome/tissu adipeux
- Lésion contenant de la kératine
- Lésion inflammatoire
- Résultats indéterminés
Comme pour toutes les applications Vetscan Imagyst, vous aurez besoin d’un ordinateur, d’une tablette ou d’un appareil mobile et d’un analyseur de Vetscan Imagyst. De plus, vous aurez besoin de fournitures standards, y compris lames de microscopes en verre de 25 x 75 mm avec bord givré, d’un colorant de type Romanowsky (p. ex. Diff Quik), d'huile d’immersion, de lamelles de 24 x 60 mm, d’un crayon et de gants.
L’analyse de masses par IA vous permet d’analyser les masses ganglionnaires et sous-cutanées courantes.
Avec la même préparation simple d’un seul échantillon, l’analyse de masse par IA ne vous oblige pas à modifier votre flux de travail traditionnel, ce qui vous permet de passer moins de temps à former le personnel et vous donne plus de contrôle sur la façon dont votre clinique est gérée.

La médecine spécialisée au service de votre clinique
Le Laboratoire Virtuel de Zoetis est un réseau de soutien intégré composé de spécialistes accrédités, associés à l’IA1,2 4-13 avancé, qui améliorent chaque élément de votre pratique diagnostique pour vous aider à réaliser des diagnostics et des traitements en toute confiance.
- L’analyse par IA
- Des experts en soutien quand il le faut§
- Informations diagnostiques connectées

Découvrez l’ensemble de la gamme Vetscan Imagyst
Petit, puissant et parfait, Vetscan Imagyst fournit des informations inégalées à travers sept capacités de test puissantes.
Découvrez comment Vetscan Imagyst peut transformer votre cabinet
Communiquez avec nous dès aujourd’hui pour en savoir plus sur la façon dont notre gamme de solutions de diagnostic peut vous aider à améliorer les soins aux patients.
Service à la clientèle, soutien et commandes
Lundi au vendredi : 8 h 30 – 16:30 HE
1-800-663-8888
Laboratoires de référence Zoetis - Service clientèle, assistance et commandes
Lundi-vendredi : 8 h 00-21 h 30 ET
Samedi : 9 h 00-20 h 30 ET
Dimanche : fermé
1-888-965-9652
Besoin de soutien technique ?
Notre équipe de soutien est disponible pour répondre à vos questions concernant les produits et fournir des conseils.||
24 heures par jour, 7 jours par semaine et 365 jours par an
1-888-746-2395 (En/Fr)
Soutien aux produits AlphaTrak pour les propriétaires d'animaux
Lundi au jeudi: 9 h 00 - 17 h 00 HE
Vendredi: 9 h 00 - 13 h 00 HE
1-800-461-0917
* Vetscan Imagyst constitue le seul analyseur vétérinaire par IA disponible sur le marché, offrant sept capacités de test microscopique.
† Possibilité d’envoyer des images de lames numérisées à notre réseau de pathologistes cliniques au besoin. Des frais supplémentaires peuvent s’appliquer.
‡ Des frais supplémentaires peuvent s’appliquer
§ Selon la disponibilité du praticien.
|| Si vous êtes propriétaire d’un animal de compagnie et que vous souhaitez obtenir des recommandations de traitement, veuillez contacter votre vétérinaire.
Références : 1. Données internes, étude n° DHX6Z-US-25-285, 2025, Zoetis Inc. 2. Données internes, étude n° DHX6Z-US-25-286, 2025, Zoetis Inc. 3. Données disponibles, étude n° TI-11711, 2024, Zoetis Inc. 4. Données internes, étude n° DHX6Z-US-23-205, 2024, Zoetis Inc. 5. Données internes, étude n° DHX6Z-US-23-206, 2024, Zoetis Inc. 6. Données internes, étude n° DHX6Z-US-23-209, 2024, Zoetis Inc. 7. Données internes, étude n° DHX6Z-US-24-257, 2024, Zoetis Inc. 8. Données internes, étude n° DHX6Z-US-24-242, 2024, Zoetis Inc. 9. Données internes, étude n° DHX6Z-US-24-275, 2024, Zoetis Inc. 10. Données internes, étude n° DHX6Z-US-24-276, 2024, Zoetis Inc. 11. Données internes, étude n° DHX6Z-US-23-222, 2023, Zoetis Inc. 12. Données internes, étude n° DHX6Z-US-22-131, 2022, Zoetis Inc. 13. Données internes, étude n° DHXMZ-US-24-235, 2024, Zoetis Inc.